Accessible Version
Harbor Point Family Dentistry
Dr. Cory McMahan
Home
About
Our Team
Technology
Office Pictures
Services
View All
Invisalign® Clear Aligners
General Dentistry
Emergency Dentistry
Children's Dentistry
Cosmetic Dentistry
Teeth Whitening
Full & Partial Dentures
Dental Implants
Crowns & Bridges
Root Canal Treatment
Tooth Extraction
Smile Gallery
Testimonials
Patient Info
View Patient Info
Forms
Financial
FAQs
Contact Us
Harbor Point Family Dentistry
Dr. Cory McMahan
Request an Appointment
Like us on Facebook
Leave a Google Review
Instagram
(704) 664-3124
General and Aesthetic Dentistry
491 Williamson Rd.
Ste 205
Mooresville, NC 28117
491 Williamson Rd., Ste 205, Mooresville, NC 28117
Harbor Point Family Dentistry
>
Smile Gallery
>
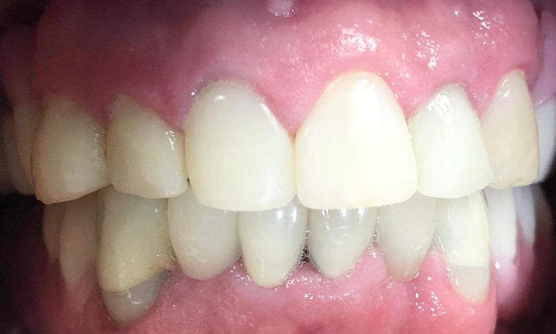
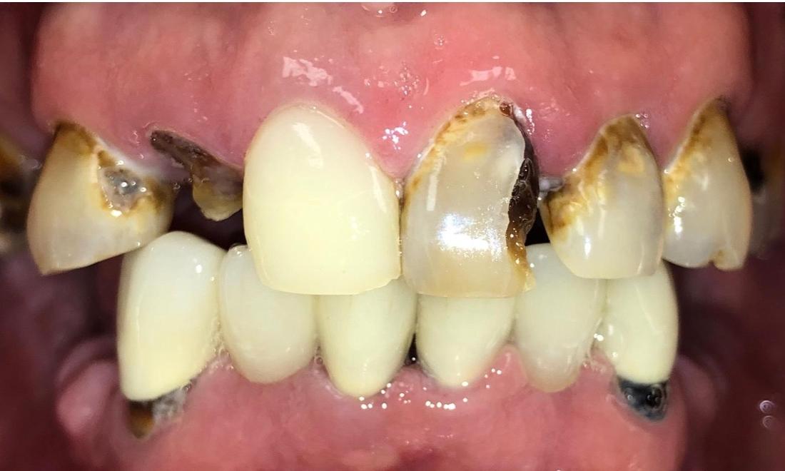
Decay Removal, White Fillings, Porcelain Crowns, Partial Dentures
Decay Removal, White Fillings, Porcelain Crowns, Partial Dentures
Return to Smile Gallery
Previous
Next
Related Services:
Cosmetic Dentistry
Crowns & Bridges
Full & Partial Dentures
Click image to see a larger picture
Before
After
Improve your smile today – call to schedule a consultation!
Contact Us
If you have difficulty using our website, please
email us
or call us at
(704) 664-3124
View the
ADA Accessibility Statement
Turn on ADA Views
Privacy Policy
OK!
×
×
Contact Us Today
Give Us A Call
Harbor Point Family Dentistry -
(704) 664-3124
Send Us an Email
Request an Appointment
Contact Us
Ready to Schedule an Appointment?
Book Online
Have Questions? Contact Us:
Required Field
Your Name:
Phone:
Email:
Are you a new patient?:
Are you a?
New Patient
Current Patient
How would you like us to contact you?
Please choose
Email
Call
Text
No Preference
How did you hear about us?
Please choose
I'm an existing patient
Google/Bing
Mailer
Word of mouth
Social media
Other
Who Referred You?:
Appointment Preferences
Monday
Tuesday
Wednesday
Thursday
Your Message:
Custom Contact Field
This site is protected by reCAPTCHA and the Google
Privacy Policy
and
Terms of Service
apply.
Sending...
×
This Patient's Experience
Loading Testimonial...
Loading Case...