Accessible Version
Harbor Point Family Dentistry
Dr. Cory McMahan

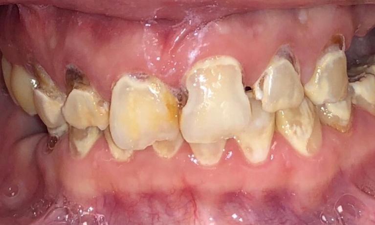
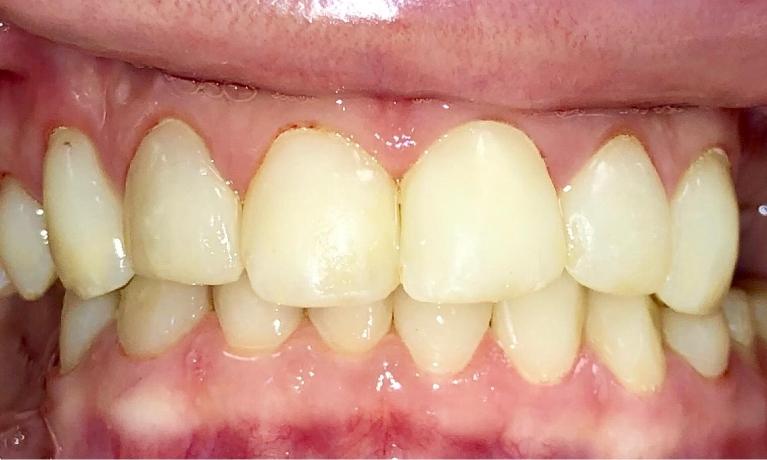
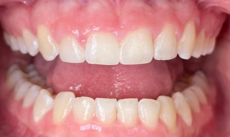
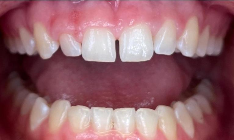
Smile Gallery

We love helping people achieve their best smiles. Browse some of our work below in our before and after gallery. Give us a call to discover the possibilities for your smile.

Ready to book an appointment?
If you have difficulty using our website, please email us or call us at (704) 664-3124
View the ADA Accessibility Statement
Privacy Policy