Crowns & Bridges

Dr. Cory McMahan focuses on solutions to help our patients achieve and maintain their healthiest smiles. Strong, healthy teeth allow you to chew comfortably, which we often take for granted until something goes wrong. Then we suddenly realize how much we count on our teeth every day!
Why Our Dentist Recommends Dental Crowns
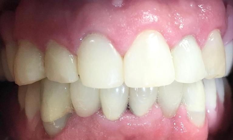
Crowns are commonly called caps or tooth caps and are customized to cover an entire tooth down to the gumline. A crown gives a tooth a second chance by adding strength and protection.
The result is a restored tooth that looks seamless and natural and is comfortable to chew on.
Here are some situations where our dentist commonly recommends a dental crown:
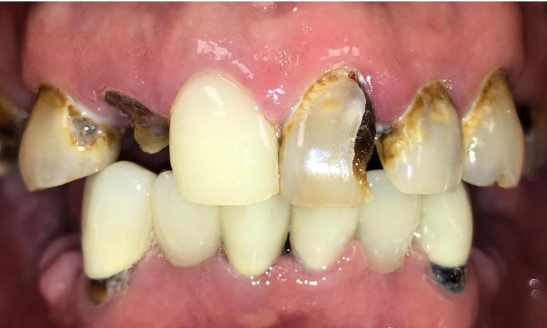
- Protect a tooth with a large cavity
- Strengthen a broken or cracked tooth
- Support a tooth that’s been filled multiple times
- Protect and support a tooth after a root canal
- Support a dental bridge used to replace missing teeth
- Restore function and appearance to a dental implant
- Improve the shape, size, or appearance of a tooth
Dental Bridges Replace Missing Teeth
It’s crucial for your oral health to replace missing teeth as soon as possible. Several tooth replacements are available, and a dental bridge is a prosthetic that replaces one or two missing in a row. It is a single unit consisting of three pieces; an artificial tooth placed in the gap and secured to remaining teeth with dental crowns.
Getting a dental bridge follows the same steps as those for a crown and can be completed in 2-3 weeks.
What’s the Process for Getting a Crown?
Getting a crown or bridge is a comfortable, straightforward process that typically takes two visits to our Mooresville dental office to complete.
First Visit – Prepare Your Tooth for the Crown
Once you’re settled comfortably in the dental chair, our dentist will gently numb the tooth we’re treating so you don’t feel anything during the procedure. While you’re numb, our dentist resizes the tooth to allow space for a comfortable, natural-looking fit.
Next, we record the shade of your teeth and take impressions. The model is used to create a temporary crown and is sent to a custom dental lab, where your crown is fabricated.
Second Visit – Place Your New Crown on the Tooth
It takes 2-3 weeks for the dental lab to prepare your crown to our specifications. Then, when it’s ready, we’ll schedule a second appointment to place it.
Our dentist will carefully remove your temporary crown and clean the tooth. Next, he will test the crown for fit and adjust it to ensure it fits your dental bite. The final steps are to polish the crown and cement it onto the prepared tooth.
Can a Dental Crown or Bridge Benefit You?
The benefits of crowns and bridges are that you'll have a healthier smile and one that allows you to chew your favorite foods comfortably again. You'll be able to interact with people again, knowing that the gap in your smile is gone and your teeth are strong and healthy.
If you need help with broken or missing teeth, we're a judgment-free dental office, and we will never shame you about your current oral health. Our goal is to restore your smile and help you enjoy a higher quality of life free from dental health concerns.